- Research article
- Open Access
- Published:
The routes of infection spread in central skull-base osteomyelitis and the diagnostic role of CT and MRI scans
BMC Medical Imaging volume 19, Article number: 60 (2019)
Abstract
Background
Central skull-base osteomyelitis (CSBO) represents a life-threatening complication of external ear canal infection. Computed tomography (CT) and magnetic resonance imaging (MRI) play key roles in assessment of CSBO progression.
Methods
Twelve patients with CSBO were included in a retrospective clinical study. In total, 62 scans (30 CTs and 32 MRIs) were performed to evaluate the extent of inflammatory changes. The scans were read independently by two radiologists specialised in imaging of the head and neck. The regions under the skull base were specified using the online Anatomy Atlas of the skull base. To clarify the timeline, the time period was divided into four parts, and inflammatory changes in the skull-base regions were tracked. Data were statistically analysed.
Results
In early stages of the disease, CT scan detects inflammatory changes closely related to the stylomastoid foramen and medially to the posterior belly of the digastric muscle, changes which have been proved to be crucial for the diagnosis of CSBO. Later the infection spreads to the contralateral side causing demineralisation of the bones.
Conclusion
Imaging methods play a crucial role not only in establishing the diagnosis, but also in anticipating the direction of infection spread underneath the skull base.
Background
Malignant otitis externa usually begins as an external auditory canal skin infection followed by osteomyelitis of the temporal bone. Spread to the skull base occurs through the tympanomastoid suture to affect the stylomastoid and jugular foramina. Similarly, central skull-base osteomyelitis (CSBO) represents a rare but life-threatening complication, involving the temporal bone pyramid, clivus, sphenoid bone wings, and adjacent soft tissues beneath the central skull base. Typically, the CSBO infection begins in the external ear canal, but spread of infection from paranasal sinuses has also been reported [1]. CSBO usually develops slowly as otitis externa lasting for weeks or months. The infection spreads under the periosteum of the tympanic bone, crosses the petrotympanic and tympanomastoid sutures, and continues towards the temporal bone apex and clivus, and also reaches the bony structures on the contralateral side. The inflammatory changes can be traced not only within the bone but also in the soft tissues below the skull base. Manifestation of cranial nerve palsy in patients with otitis externa leads to suspicion of CSBO. The group most affected are elderly diabetics with recurrent otitis externa [2]. The most common infectious agents include Pseudomonas aeruginosa, Staphylococcus species, or fungi [1, 3]. The presence of symptoms such as severe otalgia, discharge and cranial nerve palsy (VI, VII, VIII, IX, X, XI, XII) are crucial for establishing the diagnosis of CSBO [2], as laboratory parameters are usually inconclusive and the results of both biopsy and microbial culture are frequently negative.
CT is used abundantly to determine the extent of temporal bone lesions. For example, in chronic otitis media with cholesteatoma the preoperative classification is based on CT examination [4]. Magnetic resonance imaging (MRI) is essential for determining soft tissue involvement, and in the area of the external auditory canal, not only the size of the tumour but also the type of malignancy can be judged on the basis of diffusion-weighted MRI [5]. In CSBO, computed tomography (CT) demonstrates incipient bone destruction, but demineralization of the bones is evident in CT as a late sign of inflammation. Magnetic resonance imaging (MRI) reveals alterations of the clivus on T1-weighted unenhanced images. 67Gallium scintigraphy interestingly reveals higher metabolic activity in the temporal bone pyramid and the clivus. To monitor the spread of inflammation in the cranial base, repeat CT or MRI examinations should be performed. In the area of the cranial base, near the dentition, a number of artefacts can degrade both CT and MRI images. Radiation exposure can be reduced by low-dose CT and post-processing data can minimize artefacts [6]. The Curve-Like Structure Extraction method may help to track linear structures such as fracture lines or vessels [7]. The objective of this research is to highlight the role of CT in detecting the moment of infection spread from the temporal bone to the central skull base. A CT scan, even non-contrast enhanced, in the early stages of the disease can identify the soft tissue changes before the osteolysis becomes obvious.
Methods
Eleven male and one female patients with CSBO were identified and assessed retrospectively in the Department of Otorhinolaryngology and Head and Neck Surgery, University Hospital Hradec Kralove during the period 2012–2017. The data were collected from medical records. The average age of patients was 78.0 years (range 70–85 years), average weight 84.1 kg (range 57-101 kg), and average body mass index (BMI) 29.1 (range 21.1–38.1). All the patients had various comorbidities including diabetes mellitus (DM) 6 (50.0%), ischemic heart disease (IHD) 4 (33.3%), renal failure (RF) 4 (33.3%), chronic pulmonary disease (PD) 7 (58.3%), and others 5 (41.7%).
The disease progressed over time in all cases, and the patients were admitted to the hospital at different stages, with an average hospitalisation time of 20 days (range 4–40 days). The inclusion criteria were: otitis externa not responsive to conservative outpatient treatment; characteristic clinical findings such as severe otalgia, ear discharge, one or more cranial nerve palsies (VI, VII, VIII, IX, X, XI, XII); osteolysis of the clivus on CT or alteration of the clivus on MRI.
In all cases one or more biopsies were obtained from inflamed regions: 3 (25%) biopsies were from mastoid cells, 9 (75%) from the retropharyngeal space trans-nasally, and 1 (8.3%) orbital.
Malignancy, mycobacterial infection and granulomatosis with polyangiitis were always excluded by laboratory findings, imaging methods and biopsy.
Microbiological cultures were taken both prior to and after antibiotic therapy. CT investigation of the temporal bones was performed as a first imaging method, followed by MRI. Both CT and MRI scans were reviewed retrospectively. Altogether 62 scans were performed, of which 30 were CTs and 32 MRIs. The scans were read independently by two radiologists specialised in imaging of the head and neck. High Resolution Computed Tomography (HRCT) was the preferred imaging method to exclude osteomyelitis of the temporal bone. Once the diagnosis of CSBO was confirmed, the disease was followed up by non-contrast enhanced MRI; hence the difference in the numbers of CTs and MRIs.
The regions under the skull base were specified according to the terminology from the online Anatomy Atlas of the skull base: external_meatus, clivus, longus_capitis_m, rectus_capitis_m, ICA, petrous_apex, mastoid, foramen_lacerum, Eustachian_tube, medial_pterygoid_m., lateral_pterygoid_m, tensor_velipalatini_m, levator_veli_palatini_m, torus_tubarius, digastric_m, bulbus_jugularis, styloid_process, foramen stylomastoideum, condylus_occipitalis [8].
The patients were followed up for different periods of time. To simplify the timeline, the follow-up period was structured into four parts: day 0, days 5–75, days 93–177, and days 209–477.
Inflammation levels were tracked using erythrocyte sedimentation rate (ESR), C-reactive protein (CRP), and white blood cell count (WBC).
The data from all the laboratory results of the patients were gathered, and missing data (10%) were ignored in the analysis. Statistical analysis was performed using the analytical software Statistica version 13.3. Descriptive data are presented as a number (percent in the file) or the median (range). Pearson Chi-square statistics were used to evaluate the statistical significance (p) of DM, IHD, RF, PD, bacterial branches, stylomastoid region involvement, and time of hospital stay after diagnosis of CSBO. Regression analysis was performed to determine the impact of individual factors on the observed variables. Data are presented as odds ratio (OR), (95% confidence interval (CI)), and p.
Results
Microbiological cultures revealed one or more bacterial strains including Pseudomonas aeruginosa in 9 cases (75%), Staphylococcus aureus in 8 cases (66.7%), Candida albicans in 2 cases (16.7%), Citrobacter in 1 case (8.3%), Candida parapsilosis in 1 case (8.3%), Malassezia furfur in 1 case (8.3%), Staphylococcus coagulase-negative in 1 case (8.3%), Stenotrophomonas maltophila in 1 case (8.3%), and Klebsiella pneumoniae in one case (8.3%). Biopsies showed acute or sub-acute inflammatory granulation tissue covered by squamous or respiratory epithelium in all cases.
Palsy of one or more cranial nerves developed in all cases (Table 1).
At the time of admission the average levels of inflammation markers were: ESR 60.5 mm/1 h (range 1.3–219.5)/ 80.2 mm/2 h (range 24–149); CRP 33.1 mg/l (range 1.3–219.5); WBC 8.3 × 109/l (range 2.9–16.6).
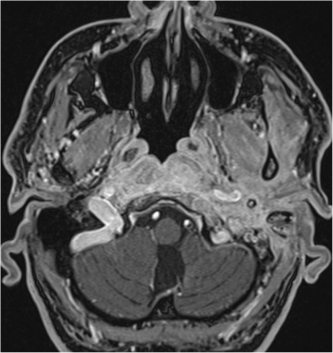
The involvement of selected regions was assessed (Table 2). In all 12 cases, clinical infection started in the external auditory canal. By the time the CSBO diagnosis was made, changes on imaging were present in only 9 patients. In the early stages of the disease, CT scans showed involvement of the soft tissues surrounding the external ear canal without evidence of bony lesions. The individual structure involvement is depicted in Figs. 1 and 2 provides details of tissue involvement on primary imaging evaluation. As the disease progressed, CT scans detected inflammatory changes in fat tissue closely related to the stylomastoid foramen medially to the posterior belly of the digastric muscle (Figs. 3 and 4). Once reviewed, this latter finding was found crucial for the diagnosis of CSBO (Fig. 5). Only in the later stages of the disease did non-enhanced T1-weighted images display destruction of the tympanic and temporal bones, osteolytic changes, and alterations of the clivus, as well as enhancement of the soft tissues beneath the skull base (Figs. 6 and 7).
Day 93–177. Gadolinium-enhanced MRI, axial plane, T1-weighted, with fat suppression. The signal increases homogeneously on the left side in retrostyloid and pre-styloid regions, longus colli muscle, and Eustachian tubes on both sides. The signal mildly and homogeneously increases in the temporomandibular joint, lateral pterygoid, and masseter muscles on the left side. Bone marrow shows signs of infiltration in the basal part of the occipital bone
In all 12 patients, CT scans confirmed the presence of fluid in the mastoid cells. However, this is a non-specific finding, and can be seen even in individuals without active inflammatory processes. In one patient, the infection also involved the temporomandibular joint and the upper eyelid on the affected side.
Additionally, MRI investigations in the early stage of the disease again illustrated fluid in the mastoid cells and oedema of the soft tissues adjacent to the external ear canal. Soft tissue enhancement was visible on axial gadolinium-enhanced T1-weighted imaging, originating from the digastric muscle insertion and continuing to the insertions of the musculus longus capitis and musculus rectus capitis anterior (Fig. 8). The pharyngobasilar fascia was in close contact with the pharyngeal process of the ossis occipitalis in the middle line, and represented the frontal border of the infection. Contralateral spread beneath the clivus in the retropharyngeal space was consistently noted. In advanced stages of infection the butterfly-shaped soft tissue enhancement was located underneath both petrosal bones and the clivus (Figs. 6 and 7). Progression of infection from the temporal bone to the other skull base bones was not noticed, except for progression through the fissura sphenooccipitalis towards the occipital bone (Fig. 8). When the treatment proved to be successful, gradual improvement of inflammatory changes in the individual regions was observed (Figs. 9 and 10).
Therapy
All patients were treated with oral antibiotics as outpatients prior to admission to the hospital. As the diagnosis of CSBO was confirmed, oral or intravenous systemic antibiotic treatment was started according to the specific microbial sensitivity and findings (Table 3).
Mastoidectomy was indicated for facial nerve paralysis progression, headaches, persisting ear discharge, or for osteolytic changes of the temporal bone indicated on CT. Histology revealed mild nonspecific inflammatory changes in all cases. In one case, a thyroplasty type I was performed for hoarseness and aspirations caused by cranial nerve X palsy. In 10 cases, local control of infection was established, cranial nerve palsies disappeared, and headaches improved, although changes in soft tissues persisted on MRI. Despite intensive antibiotic therapy, 2 patients died in the regional hospitals as a result of the disease.
Statistical analysis
Analysis was focused on variables that would be early predictors of CSBO development. As this is a retrospective study, the data were not taken consistently in the timeline of the disease. Pearson Chi-square test was found to be suitable for testing the statistical significance (p) of variables. From the range of all possible variables that were tested, comorbidities: DM, IHD, RF, PD, others; bacteria: Pseudomonas aeruginosa, Staphylococcus aureus; and stylomastoid involvement and duration of hospital stay were found to be of interest. However, only stylomastoid involvement achieved statistical significance p = 0.021 (Table 4).
In the knowledge that this was statistically significant, effort was focused on detection of parameters related to stylomastoid involvement. Among the variables tested, the ESR_mm_1h: OR 1.041, 95%CI 1.010–1.073, p 0.027; and ESR_mm_2h: OR 0.980, 95%CI 0.9511.000, p 0.039 were found to be statistically significant, albeit the OR is relatively low (Table 5).
The duration of hospital stay was also tested as a marker of seriousness of the disease, but was not found significant.
Discussion
Infections of the external auditory canal are not always easy to cure, particularly if the infection spreads inside the tympanic, mastoid or petrous bones. The most advanced stage of the infection is CSBO. The treatment recommendations are usually based on case reports or case series reports [2]. Early diagnosis based on clinical symptoms and imaging is crucial for successful therapy. Unfortunately, early diagnosis is often missed as the patients are presented to the ENT department after weeks or months of problems [9], and this was the experience in our group. Once the greater part of the skull base has been affected, the diagnosis becomes easier to establish but the prognosis worsens. Thus the authors highlight the importance of early diagnosis that allows an early start to treatment.
Imaging
Medical imaging techniques represent a valuable method for diagnostics and follow-up. HRCT is used to exclude bone involvement in malignant otitis externa. In our group, HRCT was always performed as the first imaging method.
Contrast-enhanced CT scans focus on soft tissue imaging beneath the skull base, gadolinium-enhanced MRI scans are excellent for tracking the involvement of the clivus, and 67Ga scintigraphy can evaluate skull base metabolic activity [10]. The MRI finding typically includes enhancement of the clivus with hypointensity in the bone marrow space on T1-weighted images, hyperintensity on T2-weighted images, and effacement of the parapharyngeal fat planes and soft tissues at the skull base [11]. Diffusion-weighted imaging can increase the prominence of the skull lesions and can be used to distinguish between malignant and benign lesions [12, 13]. To exclude malignancy, one or more biopsies were usually taken. Without exception, the CT or MRI scans were performed for neurological reasons to exclude stroke prior to ENT examination. Once the diagnosis had been established, the MRI was repeated bi-monthly.
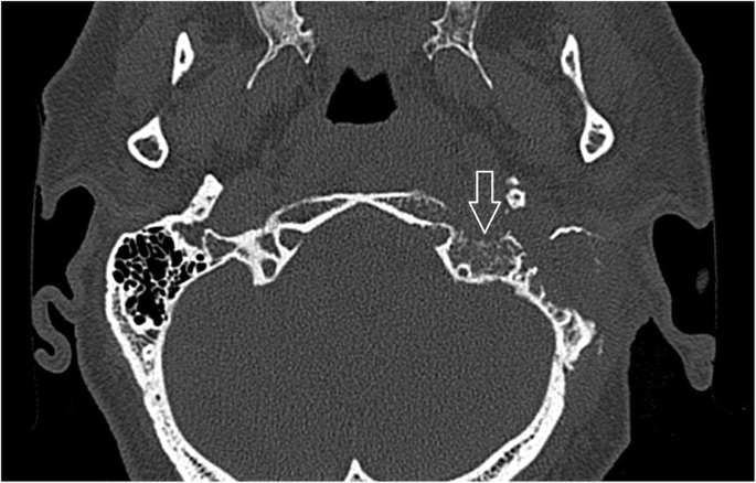
Sreepada et al. consider the tympanomastoid suture crucial for spread of infection [14]. The swelling of soft tissues adjacent to the tympanomastoid and petrotympanic sutures and stylomastoid foramen was visible in all cases on non-contrast CT scans. Therefore the authors consider it as a warning sign suggestive of further progression of skull base infection, similarly as reported in malignant otitis externa [15]. Sreepada also recommends CT follow-up for CSBO even though the osteolytic changes of the compact bone on CT represents a rather late sign, as 30% of bone must be demineralized to appear eroded on CT scans (Fig. 11). If soft tissue changes were visible on non-contrast enhanced CT scans, the suspicion of inflammation was raised. MRI is considered essential for CSBO diagnosis [16]. Venous channels and fascial planes facilitate the spread along the dural venous sinuses. Two experienced radiologists were asked to trace the infection spread on CT and MRI scans. After acquisition of the data, the pathways can be traced even by post-processing imaging methods [7]. Hence, most active disease was found in the compact bone along the middle and posterior cranial fossa surfaces with extension to the petrous apex [14]. In patient No 2 the infection also involved the temporomandibular joint and parotid gland and the upper eyelid on the affected side. This was due to an anatomical variant, persistent foramen of Huschke, which allowed infection spread from the external auditory canal to the temporomandibular joint [17]. In this region, advanced diffusion imaging MRI can be used [18]. The rudimentary foramen was also observed in one case and facilitated infection spread towards the temporomandibular joint and surrounding tissues.
Patient No: 3, five months following mastoidectomy and antibiotic treatment: amoxicillin/clavulanic acid, gentamycin, clarithromycin and dalacin. Non-enhanced CT image (bone window) axial scan cross section of temporal and occipital bones. Osteolysis of the compact bone in the left lateral skull base represents a late sign of osteomyelitis (arrow). Minor changes of spongy bone and major changes of compact bone highlight spread of infection under the periosteum, but represents a late sign of the infection
MRI represents an excellent technique for soft tissue imaging. Fascial spaces, periosteum, muscular insertions and bone marrow are visible on post-contrast T1 weighted scans. Sutures between skull bones represent a temporary barrier for osteomyelitis extension to adjacent bones. The periosteum within the skull base adheres more tightly to musculus rectus capitis anterior and musculus longus capitis insertions. Additionally, the periosteum, muscular tendons and fascia beneath the skull base are the boundaries for infection spread under the skull base. Those margins are the reasons for soft tissue enhancement in post-contrast T1 weighted imaging, which is typically a butterfly shaped zone of increased signal intensity between the spine and pharyngobasilar fascia. An interesting finding of infection spread was noticed on repeated MRI scans. The infection crossed the midline and spread through the retropharyngeal and retrostyloid parts of the parapharyngeal space into the contralateral temporal bone (Fig. 12. a, b). Origination of the pharyngobasilar fascia in the skull base represents a relatively steady border for infection spread. However, spaces anteriorly and laterally from the mentioned fascia are opened towards the sphenoidal bones and orbits. Crucial advantages in MRI scanning were reported by Ozgen et al. [16]. MRI scans are recommended to distinguish between malignant and benign lesions, and Ginat et al. recommend diffusion weighted imaging (DWI) [12].
a Patient 1, 2 months after the first clinical symptoms: MRI of the skull base. Contrast-enhanced axial T1-weighted spin-echo image with fat saturation. Inflammatory changes of the right side soft tissues beneath the skull base, musculus longus capitis and musculus rectus capitis anterior (arrow). The swelling extends to the midline; the infection originates from the right external auditory canal. b Patient No. 1, 4 months following the first clinical symptoms: MRI of the skull base of the same patient. Contrast-enhanced axial T1-weighted spin-echo image with fat saturation. After antibiotic treatment: ceftazidime, ciprofloxacin, clindamycin, Oxacyllin. Inflammatory changes of the soft tissues below the skull base progressed to the left side (arrow), musculus longus capitis and musculus rectus capitis anterior. The swelling affects the retropharyngeal and retrostyloid part of the parapharyngeal space in the midline and progresses to the left side
Diagnostics
Malignancy should be excluded in the first instance [2]. However, this is not possible without biopsy and histological examination. All cases were confirmed histologically. The presence of acute or subacute inflammatory changes had no impact on further management, but rather therapeutic response was guided by inflammation markers. Our small number of patients does not permit deeper statistical analysis; however, the largest reported meta-analysis [2] included 42 patients in 68 articles over a period of more than 60 years. It was proved that only the ESR correlates with the disease activity [2, 19]. Thus we conclude that our file of 12 patient merits consideration. The literature mostly recommends the use of MRI as the most valuable imaging method to determine the extent of infective changes of soft tissues below the skull base [1, 20]. Scintigraphy was not considered in our study, but new molecular tracers for assessment of bacterial infection have already been tested [21].
Therapy
The bacterial strains found in our study were various, but it is well known that patients with CSBO frequently have been treated with a range of antibiotics prior to hospital admission, and cultures of biopsy material are very often sterile [10].
Both malignant otitis externa and CSBO should be treated by an ENT specialist [22]. Johnson and Batra systematically reviewed a series of 42 cases and recommended conservative management and long-term antibiotic treatment covering Pseudomonas aeruginosa or other infectious agents confirmed by cultivation [2, 19]. Pseudomonas aeruginosa infection should be suspected even if the microbial cultivation is negative [10], and hence the first choice of antibiotic treatment in our group of patients on admission was ciprofloxacin. Although in all cases the initial course of antibiotics was administered intravenously, an experimental intra-arterial application of antibiotic has also been reported [22]. Despite a number of papers unambiguously recommending conservative management of CSBO, some authors prefer a surgical approach associated with extensive treatment of affected bones [1]. We provided mastoidectomy in cases of deterioration in facial nerve palsy and the progression of osteolytic changes on CT. Two patients died due to renal and heart failure, exacerbated by long-lasting infection and even the side effects of the prolonged administration of antibiotics. We therefore conclude, in accordance with the literature, that comorbidities represent the main prognostic factor for survival [23].
Conclusions
For the establishment of CSBO, CT and MRI findings proved to be crucial. Both surgical and conservative treatment of CSBO are dependent on CT and MRI scan findings. Before the inflammation starts to spread towards the clivus, the fat tissues adjacent to the styloid process becomes stranded on enhanced CT scans and the tissue changes are obvious even on non-enhanced CT scans. We consequently strongly recommend that CT or MRI imaging of the skull base becomes compulsory in elderly diabetics with otitis externa lasting more than 2 months.
Abbreviations
- BMI:
-
Body mass index
- CI:
-
Confidence interval
- CRP:
-
C-reactive protein
- CSBO:
-
Central skull base osteomyelitis
- CT:
-
Computed tomography
- DM:
-
Diabetes mellitus
- ESR:
-
Erythrocyte sedimentation rate
- HRCT:
-
High resolution computed tomography
- IHD:
-
Ischemic heart disease
- MRI:
-
Magnetic resonance imaging
- OR:
-
Odds ratio
- p:
-
Statistical significance
- PD:
-
Pulmonary disease
- RF:
-
Renal failure
- WBC:
-
White blood cell count
References
- 1.
Ridder GJ, Breunig C, Kaminsky J, Pfeiffer J. Central skull base osteomyelitis: new insights and implications for diagnosis and treatment. Eur Arch Otorhinolaryngol. 2015;272(5):1269–76.
- 2.
Johnson AK, Batra PS. Central skull base osteomyelitis: an emerging clinical entity. Laryngoscope. 2014;124(5):1083–7.
- 3.
Gabrielli E, Fothergill AW, Brescini L, Sutton DA, Marchionni E, Orsetti E, Staffolani S, Castelli P, Gesuita R, Barchiesi F. Osteomyelitis caused by Aspergillus species: a review of 310 reported cases. Clin Microbiol Infect. 2014;20(6):559–65.
- 4.
Razek A, Ghonim MR, Ashraf B. Computed tomography staging of middle ear cholesteatoma. Pol J Radiol. 2015;80:328–33.
- 5.
Razek A. Assessment of masses of the external ear with diffusion-weighted MR imaging. Otol Neurotol. 2018;39(2):227–31.
- 6.
Yang W, Zhang HJ, Yang J, Wu JS, Yin XR, Chen Y, Shu HZ, Luo LM, Coatrieux G, Gui ZG, et al. Improving low-dose CT image using residual convolutional network. Ieee Access. 2017;5:24698–705.
- 7.
Chen Y, Zhang YD, Yang J, Cao Q, Yang GY, Chen J, Shu HZ, Luo LM, Coatrieux JL, Feng QJ. Curve-like structure extraction using minimal path propagation with backtracking. IEEE Trans Image Process. 2016;25(2):988–1003.
- 8.
Bony skull base: axial anatomy [http://www.headandneckrad.com/].
- 9.
Chawdhary G, Hussain S, Corbridge R. Delayed diagnosis of central skull- base osteomyelitis with abscess: case report and learning points. Ann R Coll Surg Engl. 2017;99(1):E24–E7.
- 10.
Spielmann PM, Yu R, Neeff M. Skull base osteomyelitis: current microbiology and management. J Laryngol Otol. 2013;127(Suppl 1):8–12.
- 11.
Michalowicz M, Ramanathan M. Clival osteomyelitis presenting as a Skull Base mass. J Neurol Surg Reports. 2017;78(2):E93–E5.
- 12.
Ginat DT, Mangla R, Yeaney G, Ekholm S. Diffusion-weighted imaging of skull lesions. J Neurol Surg B Skull Base. 2014;75(3):204–13.
- 13.
Lesser FD, Derbyshire SG, Lewis-Jones H. Can computed tomography and magnetic resonance imaging differentiate between malignant pathology and osteomyelitis in the central skull base? J Laryngol Otol. 2015;129(9):852–9.
- 14.
Sreepada GS, Kwartler JA. Skull base osteomyelitis secondary to malignant otitis externa. Curr Opin Otolaryngol Head Neck Surg. 2003;11(5):316–23.
- 15.
Murray ME, Britton J. Osteomyelitis of the skull base: the role of high resolution CT in diagnosis. Clin Radiol. 1994;49(6):408–11.
- 16.
Ozgen B, Oguz KK, Cila A. Diffusion MR imaging features of skull base osteomyelitis compared with skull base malignancy. Am J Neuroradiol. 2011;32(1):179–84.
- 17.
Lacout A, Marsot-Dupuch K, Smoker WR, Lasjaunias P. Foramen tympanicum, or foramen of Huschke: pathologic cases and anatomic CT study. Am J Neuroradiol. 2005;26(6):1317–23.
- 18.
Razek A. Routine and advanced diffusion imaging modules of the salivary glands. Neuroimaging Clin N Am. 2018;28(2):245–54.
- 19.
Omran AA, El Garem HF, Al Alem RK. Recurrent malignant otitis externa: management and outcome. Eur Arch Otorhinolaryngol. 2012;269(3):807–11.
- 20.
Muranjan SN, Khadilkar SV, Wagle SC, Jaggi ST. Central Skull Base osteomyelitis: diagnostic dilemmas and management issues. Indian J Otolaryngol Head Neck Surg. 2016;68(2):149–56.
- 21.
Ordonez AA, Weinstein EA, Bambarger LE, Saini V, Chang YS, DeMarco VP, Klunk MH, Urbanowski ME, Moulton KL, Murawski AM, et al. A systematic approach for developing Bacteria-specific imaging tracers. J Nucl Med. 2017;58(1):144–50.
- 22.
Yamazaki H, Kikuchi M, Shinohara S, Naito Y, Fujiwara K, Kanazawa Y, Tona R. Intra-arterial administration of antibiotics for refractory skull base osteomyelitis. Auris Nasus Larynx. 2014;41(4):380–3.
- 23.
Rothholtz VS, Lee AD, Shamloo B, Bazargan M, Pan D, Djalilian HR. Skull base osteomyelitis: the effect of comorbid disease on hospitalization. Laryngoscope. 2008;118(11):1917–24.
Acknowledgements
The authors are grateful to Ian McColl MD, PhD for assistance with the manuscript.
Ethicals approval and consent to particiapte
The manuscript has been approved by the Ethical Committee of University Hospital in Hradec Kralove. All procedures performed in studies involving human participants were in accordance with the ethical standards of the institutional and national research committee and with the 1964 Helsinki declaration and its later amendments.
Funding
Supported by the project (Ministry of Health, Czech Republic) for conceptual development of research organization 00179906.
Author information
Affiliations
Contributions
The roles of author and co-authors and their responsibilities were as follows: J.M. preparation of the manuscript, first and corresponding author. M.C. preparation of the manuscript. J.D. data collection and preparation of the manuscript. J.K. data collection and preparation of the manuscript. L.Z. data collection and preparation of the manuscript. K.Z. data collection and preparation of the manuscript. J.A. data collection and preparation of the manuscript. V.C. senior author, preparation and revision of the manuscript. V.P. senior author, preparation and revision of the manuscript. All authors read and approved the final manuscript.
Corresponding author
Ethics declarations
Consent for publication
Formal consent is not required for this type of study.
Raw data are available in the author’s database.
Competing interests
All authors certify that they have no affiliations with or involvement in any organization or entity with any financial interest (such as honoraria; educational grants; participation in speakers’ bureaus; membership, employment, consultancies, stock ownership, or other equity interest; and expert testimony or patent-licensing arrangements), or non-financial interest (such as personal or professional relationships, affiliations, knowledge or beliefs) in the subject matter or materials discussed in this manuscript.
Publisher’s Note
Springer Nature remains neutral with regard to jurisdictional claims in published maps and institutional affiliations.
Rights and permissions
Open Access This article is distributed under the terms of the Creative Commons Attribution 4.0 International License (http://creativecommons.org/licenses/by/4.0/), which permits unrestricted use, distribution, and reproduction in any medium, provided you give appropriate credit to the original author(s) and the source, provide a link to the Creative Commons license, and indicate if changes were made. The Creative Commons Public Domain Dedication waiver (http://creativecommons.org/publicdomain/zero/1.0/) applies to the data made available in this article, unless otherwise stated.
About this article
Cite this article
Mejzlik, J., Cerny, M., Zeinerova, L. et al. The routes of infection spread in central skull-base osteomyelitis and the diagnostic role of CT and MRI scans. BMC Med Imaging 19, 60 (2019). https://doi.org/10.1186/s12880-019-0331-7
Received:
Accepted:
Published:
Keywords
- Central skull-base osteomyelitis
- Imaging
- Treatment
- Cranial nerve palsy, computed tomography











